If you are wearing false teeth, do not neglect the hygiene of the false teeth because dental plaque also forms on them.
Dental plaque forms on the surface of a denture. In order to maintain the hygiene of the mouth and denture, the denture should be taken out for cleaning every night.


Wearing an unclean denture for a long period of time may lead to inflammation of the soft tissue under the denture with redness, swelling, pain, ulceration, etc. This condition is called "Denture induced Stomatitis".
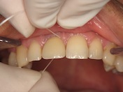
As dental plaque also accumulates on the surface under the bridge, people wearing bridges should use superfloss to clean the area daily.
Dental plaque accumulates underneath the bridge
Superfloss

Poor bridge hygiene may affect the health of the adjacent teeth, resulting in tooth decay and gum disease.
Video display: Use of superfloss
A dental implant is a biocompatible (titanium) structure embedded in the jawbone as abutment which acts like the root of a tooth to support false teeth, such as crown, bridge or denture.
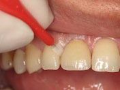
The cleaning method is similar to that of a real tooth. Brush at the gum margin, and use floss or interdental brush to clean the interdental surfaces.


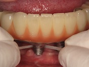
If the false teeth have two or more implants supporting, the cleaning method is similar to that of a conventional bridge. Since there is a gap between the false teeth and the gum, it is necessary to use superfloss or interdental brush to clean the surfaces underneath the false teeth.


After removing the denture, use a single-tuft toothbrush to clean around the abutment of the implant. The cleaning method for the denture is the same as for conventional dentures. Use soft toothbrush and detergent to clean every part of the denture. Then rinse with water and immerse it in a glass of water overnight.


Implant supported false tooth can help to improve chewing ability. However, if oral self care is not appropriate, the gum around the implant may become inflamed, leading to development of peri-implantitis. Gradually, the implant may become mobile and even come out.