Aphthous ulcer is a kind of mouth ulcer that is non-infectious but tends to recur. It is commonly present on the tongue and oral mucosa of the cheeks, lips and throat.



![]() |
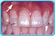
Aphthous ulcer begins with a localised swelling of the affected oral mucosa to form a small round or oval shaped blister. After a day, the blister bursts and becomes a whitish or yellowish ulcer with a red margin. When irritated by spicy, salty or sour food with strong taste, pain will be felt and saliva secretion will be increased. |
To date, the aetiology of aphthous ulcer has not been confirmed. However, the predisposing factors are known as follows:
Aphthous ulcer usually heals within 7 to 14 days. If the situation persists for more than 3 weeks or there is recurrent formation of new aphthous ulcers, you should consult a doctor for a body check-up to see if other treatments are necessary. If it is because of wearing an unfit denture, you should consult your dentist to adjust the denture. When necessary, a new denture may have to be made.
To avoid the pain from getting aggravated, you should:
Since the aetiology of aphthous ulcer has not been confirmed, the only way to prevent recurrence is by eliminating the predisposing factors.