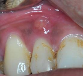
Tooth abscess is a swelling due to collection of pus that resulted from bacterial infection of oral tissues.

If the tooth with abscess is not treated early and appropriately, bacterial infection may spread to the surrounding tissues like the supporting bone, gum, etc. Then, severe consequences like formation of cyst, sinusitis, cellulitis, osteomyelitis, etc., may happen.
If a tooth abscess is found in the mouth, we should go to see a dentist immediately to have a check-up and receive treatments. Usually, the dentist needs to open up the tooth abscess and drain out the pus in order to reduce the inflammation. Also, the dentist will find out the cause of formation of the tooth abscess. If it is due to tooth decay, cracked teeth, or tooth wear, etc., the tooth may need endodontic treatment to clean and fill the root canals, and restoration of the crown. Then a false crown may be needed in order to protect the tooth in long term. However, if the tooth is too badly damaged, it may need extraction instead. If the cause of tooth abscess is severe gum disease, the tooth may need treatments like scaling, root planning, etc., to remove the bacteria on the root surface in order to reduce inflammation of the gum and surrounding tissues. Moreover, proper self care to keep good oral hygiene is essential for the recovery and prevention of recurrence. Nevertheless, if the gum disease is too serious and the supporting tissues are too badly damaged and cannot be cured, the tooth may need extraction instead.
Formation of a tooth abscess indicates that oral disease has already reached a very serious stage. Therefore, it is very important to have regular dental check-up, such that oral diseases can be identified and treated at early stages. In addition, proper daily self care is essential for the prevention of oral diseases. It includes brushing the teeth thoroughly twice daily, using floss or interdental brush to clean adjacent tooth surfaces. Besides, the frequency of having snacks should be reduced in order to prevent tooth decay. Frequent consumption of acidic food and beverage or hard food should be avoided in order to prevent erosion of tooth or tooth crack.