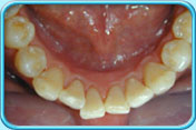
由於恆齒的琺瑯質是稍微透明的,內層黃色的象牙質就透現出來,所以恆齒會呈微黃色。隨年紀漸長,象牙質不斷增厚,牙齒亦會變得比較黃,這情況是正常的。
呈微黃色的恆齒乳齒的琺瑯質不及恆齒的琺瑯質那般透明,因此乳齒呈乳白色。
呈微黃色的乳齒導致牙齒變色的因素有兩種──外在因素和內在因素
由外在因素引致的牙齒變色
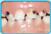
牙齒表面有啡黑色漬
有黑色漬的牙齒原因
經常飲用深色的飲品如茶等,色素就會沉積在牙齒表面。
治療方法
牙科醫生會:
以噴粉潔牙,即利用空氣把細小的蘇打粉末(碳酸氫鈉)混合物與水混合後,由噴嘴高速噴向牙齒表面以清除牙漬。
噴粉潔牙情形
清除黑漬後的牙齒預防方法
減少飲用深色的飲品以減少色素積聚。
牙齒表面有綠色或橙色漬
有橙色漬的牙齒原因
牙齒沒給清潔乾淨,積聚在表面的牙菌膜含有一些能發出顏色的細菌或真菌,形成綠色或橙色的漬。
治療方法
牙科醫生會藉洗牙以清除積聚的牙菌膜及色素。
清除橙色漬後的牙齒預防方法
每天早晚刷牙和使用牙線徹底清除牙菌膜,以保持牙齒潔白。
由內在因素引致的牙齒變色
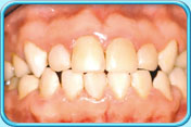
牙齒呈灰藍色至啡黃色原因
在牙齒發育期間因身體疾病或長期服用四環素,使牙齒變成啡黃甚至灰藍色。
治療方法
牙齒呈灰黑色
原因一
牙齒蛀壞

治療方法
牙科醫生把牙齒蛀壞的部分清除,然後填上補牙物料

原因二
牙齒壞死

因碰撞或蛀牙導致牙齒壞死,壞死的牙髓所釋出的物質滲入象牙質,牙齒就會逐漸呈灰黑色。
治療方法
這類因牙髓壞死而引致的牙齒變色,必須以根管治療 (牙髓治療) 處理。
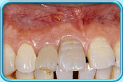
根管治療後若經根管治療後牙齒仍然呈灰黑色,牙科醫生可為牙齒進行牙齒漂白、貼面修復治療或人造牙冠鑲配。
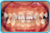
牙齒表面有啡黃或白斑


治療方法
初期蛀牙
牙科醫生可於牙齒表面塗上牙面氟化物劑,使初期蛀牙得以修復

牙齒發育時受感染或氟斑牙
以複合樹脂補牙、做貼面修復治療或鑲配人造牙冠
填上複合樹脂後的牙齒