口腔問題

長牙瘡是因口腔組織受細菌感染而發炎,膿液積聚,形成腫脹現象。

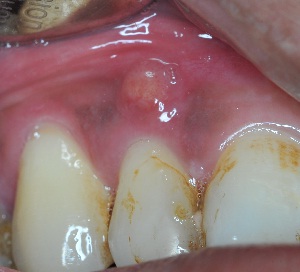
圖中所見是牙齒附近長有牙瘡。

原因

  • 蛀牙:
    蛀牙是兒童長牙瘡最主要的原因。當蛀牙程度嚴重至深入牙髓位置,牙髓組織會受細菌感染而壞死,細菌不斷滋長,並經由牙根末端擴散至鄰近的牙周組織,引致發炎及積聚膿液,形成牙瘡。
  • 其他情況
    患上嚴重牙周病、牙齒破裂、牙齒耗損等時,都有可能引致牙瘡,但這些情況通常都發生在成人身上。

後果

如果長牙瘡的牙齒得不到及時和妥當的處理,細菌會不斷擴散,感染鄰近的口腔組織,例如牙槽骨、牙齦等,可能會引發很嚴重的後果。

處理辦法

若發現口腔內長出牙瘡,應請父母盡快帶你往見牙科醫生,接受檢查和治療。通常牙科醫生會:

  • 放走膿液,幫助消炎
  • 因應臨床判斷,找出產生牙瘡的原因

    • 如果原因是牙齒嚴重蛀壞,就可能要進行根管治療(杜牙根),清除引起發炎的細菌及填補牙髓腔。
    • 如果牙齒受破壞的程度太嚴重,至沒法修補,則須要把它拔掉。

預防辦法

長牙瘡是顯示口腔疾病已發展至很嚴重的程度,要避免這情況,你應該:

  • 定期往見牙科醫生接受口腔檢查,因為若有牙患可以及早發現及處理;
  • 要養成良好的口腔護理習慣,早晚用正確的方法刷牙,徹底清潔牙齒,兼用牙線清潔牙齒鄰面;及
  • 減少吃喝茶點或零食的次數,以預防蛀牙。