补牙

目的

  • 把崩缺的牙齿修补,使它回复原貌。

    图中所见是一颗于咬合位置崩缺了一角的门牙。补牙前
    图中所见蓝圈内是原本崩缺一角的门牙已给修补,回复原貌。补牙后
  • 把细小的牙齿增大,以改善外观。

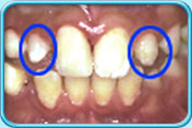
    图中所见是明显细小的侧门牙。补牙前
    图中所见两个蓝圈内是原本细小的侧门牙,经处理后侧门牙的体积都增大了,因而外观得以改善。补牙后
  • 把牙缝两旁的牙齿增阔以缩小牙缝。

    图中所见是两颗上排正门牙之间有一道阔缝隙。补牙前
    图中所见蓝圈内是两颗上排正门牙经处理后,两牙之间的缝隙细了。补牙后
  • 遮盖牙齿的色斑。

    图中所见是上下排前牙有不同程度的色斑。补牙前
    图中所见是上下排原本有色斑的牙齿,经处理后色斑都给遮盖了。补牙后