Orthodontic Treatment

Orthodontic treatment is a series of processes that move the teeth to the desired positions in the mouth by orthodontic appliances.

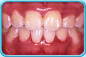
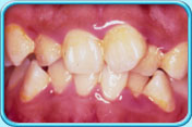
Example 1

Photograph of irregular front teeth.Before treatment
Photograph of irregular front teeth being moved to the desired positions after orthodontic treatment.After treatment

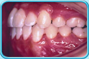
Example 2

Photograph of the lateral view of the front teeth showing that the lower jaw is protruded.Before treatment
Photograph of the lateral view of the front teeth showing apparent improvement of lower jaw after orthodontic treatment.After treatment

Orthodontic treatment is a complex dental treatment. Before commencing an orthodontic treatment, you should consult an orthodontist to understand your oral condition and the details of the treatment involved.

Purpose

  • To improve esthetics
  • To improve the occlusion between the upper and lower teeth in order to improve the masticatory function
  • To improve the alignment of teeth so that a well-support denture/bridge can be fitted

Types of orthodontic appliances

Fixed orthodontic appliance

Materials and mechanism

  • Attach orthodontic brackets in appropriate positions on the tooth surfaces so that when the orthodontic brackets and orthodontic wire are tied up, the spring back action of the orthodontic wire will move the teeth.
  • Gradually, the teeth are moved to the desired positions determined by the shape of the orthodontic wire.

Procedures for fixed orthodontic appliance

  • Placement of orthodontic brackets.

    Photograph of lower front teeth with orthodontic brackets.
  • The orthodontic wire and orthodontic brackets are connected by elastics and stainless steel wire (ligatures).

    Photograph of front teeth showing that the orthodontic wire and brackets are connected by elastics and stainless steel wire.
  • Regular dental visit should be made according to the instructions of the orthodontist to:
    • Check the movement of the teeth
    • Change the elastics or stainless steel wire
    • Change the orthodontic wire
    Photograph of front teeth showing the lower teeth being moved to an ideal position.
  • After the teeth have moved to the desired positions, a retainer is inserted to hold and stabilize the tooth positions.

Treatment duration

  • Overall treatment duration lasts for about one and a half to three years. The actual time needed depends on the complexity of treatment.

Removable orthodontic appliance

Materials and mechanism

  • Springs or screws are embedded in an acrylic plate, which is held in place by stainless steel wire clasps, to move the teeth to the desired positions.

    Photograph of an upper jaw and the orthodontic appliances showing the position of springs.
    Photograph of an upper jaw and the orthodontic appliances showing the position of screws.

Procedures for removable orthodontic appliance

  • Take impressions on the teeth.
  • Fabricate the removable orthodontic appliance in the dental laboratory.
  • Try in the appliance in patient’s mouth, and adjust the springs/screws accordingly.
  • Follow up dental visits to check the tooth movements and adjust the springs/screws regularly.
  • After the teeth have been moved to the desired positions, the removable orthodontic appliance will serve as a retainer to stabilize the tooth positions.

Treatment duration

  • The treatment may last for about 6 to 12 months. The actual time needed depends on the complexity of treatment.

Points to note on orthodontic treatments

  • If you are wearing orthodontic appliances, you should pay extra attentions towards oral hygiene to prevent tooth decay and gum disease.
  • If you are wearing a removable orthodontic appliance, the appliance and teeth must be thoroughly cleaned every morning and night time. Then wear the appliance again. Leave the appliance in plain water when it is not worn.
  • If there is severe discomfort on wearing orthodontic appliances, consult your orthodontist immediately.