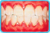
The toxins released by the bacteria in dental plaque which has accumulated along the gum margin for a period of time irritate the periodontal tissues (tooth supporting tissues) and lead to gum disease.


Under the following situations, you are prone to having gum disease or making the condition worse:
Smokers/smokers can be up to five times or more likely to suffer from gum disease than non smokers. Smokers are more prone to gum disease because:
Smoking makes early symptoms of gum disease such as swollen gums and bleeding while brushing less noticeable because chemicals in cigarettes such as nicotine cause blood vessel constriction. As the bleeding symptom is not obvious, it is not easy to discover that the gingivae have been inflamed. As a result, the gum disease will aggravate unconsciously.
Nicotine in cigarettes lowers the healing capability of oral tissues, retards the healing process and causes the gum disease to worsen.
Stress lowers the body resistance towards illnesses including gum disease.
![]() |
If pregnant women do not clean their oral cavity thoroughly, the hormonal changes during pregnancy may exaggerate the response of the gum tissues to the plaque bacterial toxins, resulting in red, swollen and bleeding gums. This is called “Pregnancy Gingivitis". |
Systemic disease such as diabetes mellitus, leukaemia and AIDS lower the resistance of the tooth surrounding tissues towards bacterial infection. Bacteria inside the dental plaque will intrude and cause gum disease if the oral cavity is not thoroughly cleaned. Furthermore, the healing capability is also lowered in patients suffering from these diseases and it is more difficult for them to recover from gum disease. Therefore, gum disease is more progressive and severe in these patients.
Intake of medication such as anti-hypertensive and anti-convulsant drugs stimulate the multiplication and activity of fibroblasts (a type of cells) in the gingivae and causes gingival swelling. Dental plaque that accumulates in the swollen gingivae is difficult to be cleaned, which leads to more severe gingival inflammation and further swelling.