幼童一般對牙科治療感到陌生和不安,使用氟化氨銀溶液遏止蛀牙過程是簡單而有效的治療方法。
氟化氨銀溶液
牙科醫生或合資格的牙科醫護人員在牙科醫生的督導下為合適的兒童塗上。

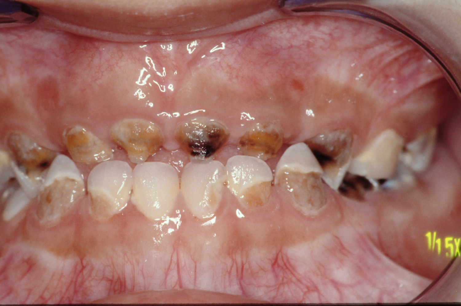
塗抹前
塗抹後塗抹物料後,蛀壞的牙齒組織會硬化及永久變黑

關注孩子的飲食習慣及協助孩子清潔口腔。一般來說,如能配合良好的飲食習慣及正確的口腔護理方法,每年塗抹一次已經有明顯控制蛀牙的效果,有助孩子避免需要接受較複雜的牙科治療,直至塗上溶液的乳齒脫落。


定期帶孩子往見牙科醫生檢查蛀牙情況,讓牙醫診斷是否需要接受進一步治療,例如重複塗抹氟化氨銀溶液或補牙等
