護老者在護理每位長者之前和之後都要洗手,護理時更要戴上新的手套。


要為長者鋪上毛巾或膠墊,避免弄濕長者的衣服。要用枕頭墊高他們的上半身,或同時用吸痰儀器吸走口腔內積聚的唾液,以免他們嗆水。

每天早晚都應替有牙齒並需要照顧的長者清潔牙齒。為他們刷牙時,所用的牙膏分量要減少。
物資
| 刷牙 | 牙刷、含氟化物牙膏、漱口杯、開水、盆、毛巾或膠墊、膠手套、甘油和棉花棒(為口唇乾燥的長者塗抹唇部) |
| 清潔牙齒鄰面 | 牙線棒、牙縫刷、單頭牙刷 |

程序:
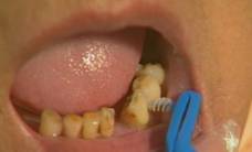
坐在長者面前,把他的假牙托除下。為長者刷牙前,先檢查他的口腔內有沒有傷口或異常現象,然後抹掉積藏在口腔內的食物渣滓。
刷牙時,用手托著長者的下頜以穩定他的頭部,不可勉強把牙刷放進他們的口裏去,以免他們嗆著,為長者清潔牙齒的方法跟一般的清潔牙齒方法相同。

如果長者失去部分牙齒,可用單頭牙刷圍繞著剩餘牙齒的貼近牙齦邊緣位置清潔。

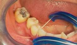
刷牙後,可用牙線棒和牙縫刷為長者分別清潔窄和闊的牙縫。


每天晚上都要替需要照顧的長者抹口腔一次
物資:
可以鎖緊物件的鉗子、紗布、杯、開水
程序:
用鉗子把一片紗布夾好

把紗布蘸上開水,擠出多餘水分,然後放入長者口中。

先抹面頰,然後是上頜牙齦、下頜牙齦、上顎、舌面、舌底,最後到咀唇。每個位置最少抹兩次,每次要換一塊乾淨的紗布。
照顧這些長者時不可用牙膏,只需用基本方法刷牙,並用牙線棒、牙縫刷或單頭牙刷為他們清潔牙縫就可以了。此外,由於這些長者不能漱口,因此在刷牙後要把他們的牙齒和口腔內其他部分都抹乾淨。如果他們沒有牙齒,只用濕紗布為他們抹口就可以了。
晚上,要為長者清潔假牙托,取出假牙托時,要把長者兩邊的面頰張開以增加口腔的空間,同時要轉動假牙托,避免金屬鈎或其他部分傷及口腔軟組織。用清潔液(例如洗潔精)和牙刷把假牙托的每個部分清潔乾淨,然後把假牙托放在開水中浸過夜,並於翌日早上為長者戴回假牙托。

長者的嘴角縐紋如果太深,就會形成一道沿嘴角延伸至下巴的縐摺。由於這些縐摺易於積藏口水或餸汁,故此護老者應於長者進食後用濕毛巾或濕棉花棒為他們清潔並抺乾這部位,以免這部位因藏污納垢而發炎。
護理完畢,要清洗乾淨各用具。