導致牙齒變色的因素有兩種──外在因素和內在因素
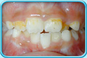
有黑色漬的牙齒經常吸煙或飲用深色的飲品如茶、咖啡等,色素就會沉積在牙齒表面。
牙科醫生會:
噴粉潔牙情形
清除黑色漬後的牙齒戒煙及減少飲用深色的飲品以減少色素積聚。
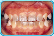
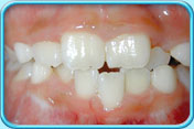
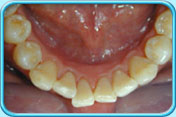
有橙色漬的牙齒牙齒沒給清潔乾淨,積聚在表面的牙菌膜含有一些能發出顏色的細菌或真菌,形成綠色或橙色的漬。
牙科醫生會藉洗牙以清除積聚的牙菌膜及色素。
清除橙色漬後的牙齒每天早晚刷牙和使用牙線徹底清除牙菌膜,以保持牙齒潔白。

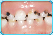
牙齒蛀壞

牙科醫生把牙齒蛀壞的部分清除,然後填上補牙物料。

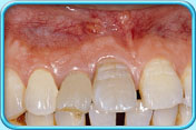
牙齒壞死

因碰撞或蛀牙導致牙齒壞死,壞死的牙髓所釋出的物質滲入象牙質,牙齒就會逐漸呈灰黑色。
治療方法
這類因牙髓壞死而引致的牙齒變色,必須以根管治療(牙髓治療) 處理。
根管治療後